Bħalissa għaddejja investigazzjoni mill-Pulizija ta’ Sheffield hekk kif tifel ta’ 12-il sena ilu rraportat nieqes iktar minn jumejn… bil-Pulizija qed...
Category - Internazzjonali
Hekk kif l-ikbar vulkan attiv fid-dinja qed jiżbroffa, diversi filmati u ritratti qed juru xeni spettakolari. Madanakollu, minkejja li mill-bogħod u fuq it-televiżjoni...
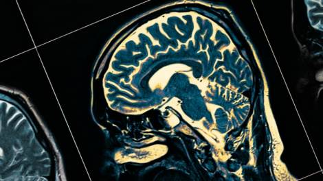
Ix-xjenzati u t-tobba huma eċċitanti ferm dwar ir-riżultati ta’ mediċina ġdida li għandha tnaqqas sew mill-qerda fil-moħħ dovuta għall-marda Alzheimer’s. Il-mediċina...
Talanqas 15 – fil-parti kbira tfal studenti – tilfu ħajjithom fi splużjoni li ħalliet ħerba fi skola li tgħallem ir-reliġjon u li tinsab f’Aybak, fil-provinċja ta’...
Tħabbret il-mewt tal-eks-President taċ-Ċina, Jiang Zemin (ritratt), li kien ħa l-poter f’pajjiżu wara l-protesti – u l-massakru storiku tal-attivisti – li seħħew fi...
L-aġenzija ewlenija tas-sigurtà f’dan il-pajjiż qed tmexxi azzjoni bbażata fuq l-użu tal-forza fil-konfront taċ-ċittadini li qegħdin jipprotestaw dwar il-liġijiet li...
In-nies li attendew l-aħħar protesti kontra l-miżuri riġidi li qed ikunu imposti minħabba l-Covid qed ikunu kuntattjati mill-pulizija. Dan meta l-Gvern Ċiniż komunista...
Talanqas tliet Palestinjani nqatlu mill-qawwiet ta’ Iżrael waqt inċidenti separati fix-Xatt tal-Punent. Dan meta qed tiżdied dejjem aktar it-tensjoni fir-reġjun bejn l...
Il-Muana Loa, fil-Hawaii – li hu l-akbar vulkan attiv fid-dinja – żbroffa għall-ewwel darba f’40 sena. Il-vulkan inkwistjoni jinsab fil- Hawaii Volcanoes National Park u...
Is-Segretarju Ġenerali tan-NATO, Jens Stoltenberg, akkuża lill-Mexxej tar-Russja Vladimir Putin dwar ‘pjan malinn’ biex juża x-xitwa bħala arma tal-gwerra kontra l-poplu...

